The different healing stages of a gum graft (Day by Day Pictures)
image size: 2240x1260
Correction of a previous gum grafting procedure. Patient that had already undergone free gingival graft some years ago by another colleague, attached gingiva was gained but surgery failed to cover the recession.
image size: 960x960
Complications and treatment errors in root coverage procedures - Mazzotti - 2023 - Periodontology 2000 - Wiley Online Library
image size: 2128x1373
Complication - Bone Graft is Exposed – Platelet PRF Treatment
image size: 2560x1920
Andrew Verrett, DDS, MS (@andrewverrettdds) • Instagram photos and videos
image size: 1080x1080
The different healing stages of a gum graft (Day by Day Pictures)
image size: 2240x1260
Woman Endures Three Tissue Graft Failures Before Visiting Our Office - Hour Detroit Magazine
image size: 1280x720
Gum Grafting for Receding Gums - Kennett Dental Implants
image size: 1978x2560
The effect of nano-bio fusion gingival gel versus palatal stent on the palatal wound healing after harvesting free gingival graft: a randomized controlled clinical trial | BDJ Open
image size: 1350x1354
Complication - Bone Graft is Exposed – Platelet PRF Treatment
image size: 1650x1301
Tunnel vs. coronally advanced flap in combination with a connective tissue graft for the treatment of multiple gingival recessions: a multi-center randomized clinical trial | Clinical Oral Investigations
image size: 1200x1535
Free gingival grafts for implants exhibiting lack of keratinized mucosa: a prospective controlled randomized clinical study | Semantic Scholar
image size: 1344x622
Soft Tissue Grafting Around Teeth and Implants - Oral and Maxillofacial Surgery Clinics
image size: 1340x768
Two Cases Demonstrating the Role of Creeping Attachment in the Treatment of Keratinized Gingival Deficiency With Free Gingival Graft: A 12-Month Follow-Up | Cureus
image size: 986x1109
Gum Graft Franklin Square, NY | Gum Grafting Surgery Nassau County
image size: 1080x1080
Necrosis of Gum with Bone Exposure: How to Manage?
image size: 1280x850
Does Gingival Recession Require Surgical Treatment?
image size: 1317x1345
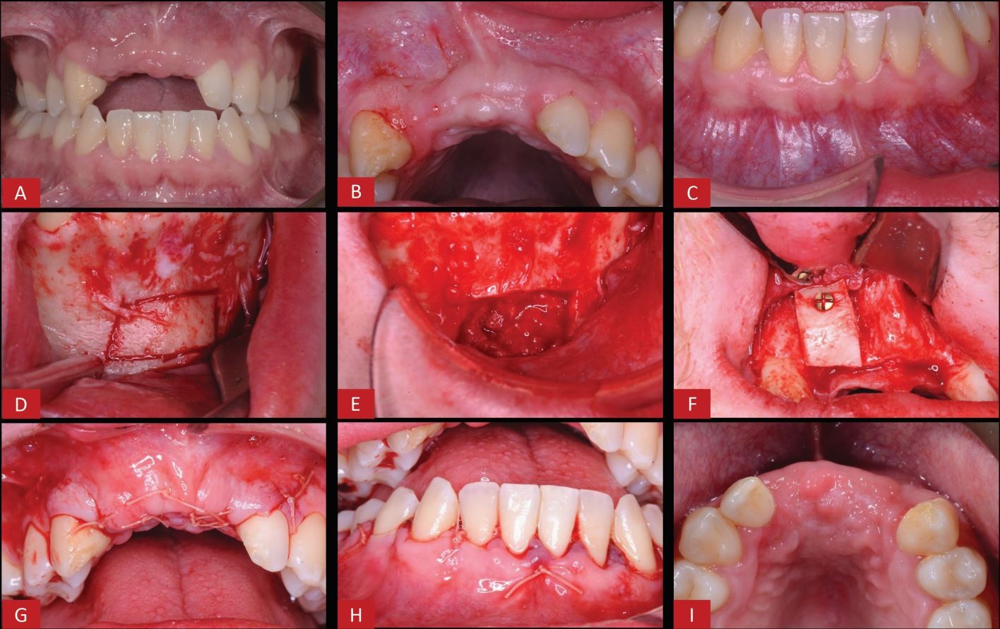
A patient presented with a previous failed soft tissue graft in the mandibular anterior region, resulting in scar formation, clefting, a highly attached frenum, and loss of attached keratinized tissue. Clinical signs
image size: 2200x1700
Lower Front Dental Implants With Gum Graft and Immediate Temporaries
image size: 1200x712
Effect of GaAlAs 940 nm Photobiomodulation on palatal wound healing after free gingival graft surgery: a split mouth randomized controlled clinical trial | BMC Oral Health
image size: 1920x1280
Failed Gum Graft? Signs, Causes, and Treatment
image size: 1468x1107
Managing the consequences of periodontal diseases/treatment: gingival recession | Dental Update
image size: 2560x1709
Tips for Gum Graft Recovery: A Timeline, Pain Levels, and More
image size: 1704x723
Soft Tissue Grafting Around Teeth and Implants - Oral and Maxillofacial Surgery Clinics
image size: 1280x1153
Patient came to our clinic suffering from gum recession and previously failed soft tissue surgery The key here was to identify the cause behind recession and previous failure Faulty oral hygiene, trauma
image size: 1500x937
When Is It Too Late for Gum Grafting? - Sarasota Dentistry
image size: 1800x1000
Gum Graft Failure: Causes, Signs, and What To Do After – Strong Jaw Supplements
image size: 725x1109
The free gingival graft | Dental Update
image size: 1600x1066
What Are Signs Of Failed Gum Graft? What To Do After?
image size: 1190x786
Gum Graft Surgery (Gingival Graft)- Is it needed? – Dentist Says
image size: 2048x1536
Patient came to our clinic suffering from gum recession and previously failed soft tissue surgery The key here was to identify the cause behind recession and previous failure Faulty oral hygiene, trauma
image size: 1416x619
Gum graft around dental implant - Bauer Smiles
image size: 2560x1237
Gum Graft \u0026 Rejuvenation - Premier LA Periodontics \u0026 Dental Implant Center
image size: 2560x1920
Complications-Bone Graft For Failed Full Lower Dental Implants
image size: 1365x768
Gum Graft | Periodontist Highlands Ranch
image size: 1400x600
Management of an iatrogenic case following traumatic tooth extraction, bone graft and implant failure | FOR.org
image size: 1024x768
Managing the consequences of periodontal diseases/treatment: gingival recession | Dental Update
image size: 727x2167
Frenectomy with free gingival graft results after 25 days?
image size: 1440x1440
Thick vs. Thin gum: - Capitol Hill Dentistry
image size: 2048x1536
Treatment of a single gingival recession with a subepithelial connective tissue graft with a double papilla flap: A case report - Claudia Amaya Bautista, Emilio A Cafferata, Rolando Vernal, Angélica M. Cárdenas,
image size: 2050x529
Gum Graft Surgery Tips and Recovery Insights
image size: 1014x1473
The importance of keratinized gingiva around our implants. Which options do I have? - dentalsurgerychannel.com
image size: 2560x1383
Gum Treatments in Clearwater, FL
image size: 3597x2318
Soft tissue graft - Bauer Smiles
image size: 1191x669
What Are Signs Of Failed Gum Graft? What To Do After?
image size: 1600x1066
Soft Tissue Grafting Burlington ON - Gum Recession Treatment
image size: 900x900
The expanded mesh free gingival graft: A novel approach to increase the width of keratinized mucosa - De Greef - 2024 - Clinical Advances in Periodontics - Wiley Online Library
image size: 1000x1295
Gum Treatments in Clearwater, FL
image size: 2256x1504
Treatment of a single gingival recession with a subepithelial connective tissue graft with a double papilla flap: A case report - Claudia Amaya Bautista, Emilio A Cafferata, Rolando Vernal, Angélica M. Cárdenas,
image size: 1780x459
Bone grafting techniques and materials for implant dentistry | British Dental Journal
image size: 1416x891
Management of an iatrogenic case following traumatic tooth extraction, bone graft and implant failure | FOR.org
image size: 1024x768
Gum Graft/Transplant for Dental Implants… Is It Necessary?
image size: 1024x768
Everything You Need to Know About Gum Grafting
image size: 1200x800
Dr. Erik M. Unger (@ginganinjadds) · Scottsdale, AZ
image size: 1440x1440
Gum Graft \u0026 Rejuvenation - Premier LA Periodontics \u0026 Dental Implant Center
Managing Failed Case of Soft Tissue Grafting Professional hockey player Multiple traumas Soft tissue grafting attempted twice in past - failed Case was referred by a colleague Periodontist We… | Mohammad Ahmad Javaid
image size: 800x1422
24 Autogenous Connective Tissue Graft - THE TRUE LIFE OF A DENTAL STUDENT \u0026 AEGD RESIDENT
image size: 1024x1024
The importance of healthy, thick peri-implant soft tissue: Characteristics, management, and prevention of complications - Oral Health Group
image size: 1676x942
Connective tissue graft: The gold standard for root coverage
Gum Graft in Mexico - Correction of Receding Gums in Mexico
image size: 1280x720
Gum Graft in Revelstoke | Gum Surgery | Selkirk Dental
image size: 1408x1127
PDF] Combination Therapy with Connective Tissue Graft, Amelogenins, and Bone Substitutes for Treatment of Deep Intrabony Defects Associated with Gingival Recession: 1-Year Follow-up of 12 Cases. | Semantic Scholar
image size: 1380x660
Gum Graft Surgery (Gingival Graft)- Is it needed? – Dentist Says
image size: 3675x1337
Clinical Effect Evaluation of Concentrated Growth Factor in Endodontic Microsurgery: A Cross-Sectional Study - Journal of Endodontics
image size: 2820x2476
Correction of a previous gum grafting procedure. Patient that had already undergone free gingival graft some years ago by another colleague, attached gingiva was gained but surgery failed to cover the recession.
image size: 960x960
Gum Tissue Grafts Near Me in Jupiter, FL | Flosswell Dental
image size: 949x962
Niloufar Danesh DDS MSD (@daneshperio) · Seattle, WA
image size: 1418x1113
Cyanoacrylate Tissue Adhesives in Peri-implant Surgery: A Case Report and Surgical Technique
image size: 1366x626
Allograft Gum Surgery, Laser Gum Surgery Near Me - Alabamaperiodontics.com
image size: 1834x815
Ramal Bone Graft for Congenitally Missing Maxillary Lateral Incisor - Geistlich
image size: 1200x698
Managing Multiple Recession Defects Associated With Noncarious Cervical Lesions - Decisions in Dentistry