Orbital Lymphangioma Adult Tumor in Boise Idaho Eyelid u0026 Facial Plastic Surgery
84 images
Slug: /2025-11-05/orbital-lymphangioma
Source: orbital-lymphangioma.json
Orbital Lymphatic Malformation (Lymphangioma)
image size: 1656x1023
Orbital Lymphatic Malformation (Lymphangioma)
image size: 1084x1269
Figure 3 from Orbital Lymphangioma: Characteristics and Treatment Outcomes of 12 Cases | Semantic Scholar
image size: 1362x838
Orbital Lymphatic Malformation (Lymphangioma)
image size: 1728x1798
Fig 3. | Resection of an Orbital Lymphangioma with the Aid of an Intralesional Liquid Polymer | American Journal of Neuroradiology
image size: 1398x1728
Orbital Lymphatic Malformation (Lymphangioma)
image size: 1294x1825
Sclerotherapy for Orbital Lymphangioma – Case Series and Literature Review | In Vivo
image size: 1706x1800
EPOS\u0026trade;
image size: 1250x661
Resection of an Orbital Lymphangioma with the Aid of an Intralesional Liquid Polymer | American Journal of Neuroradiology
image size: 1800x991
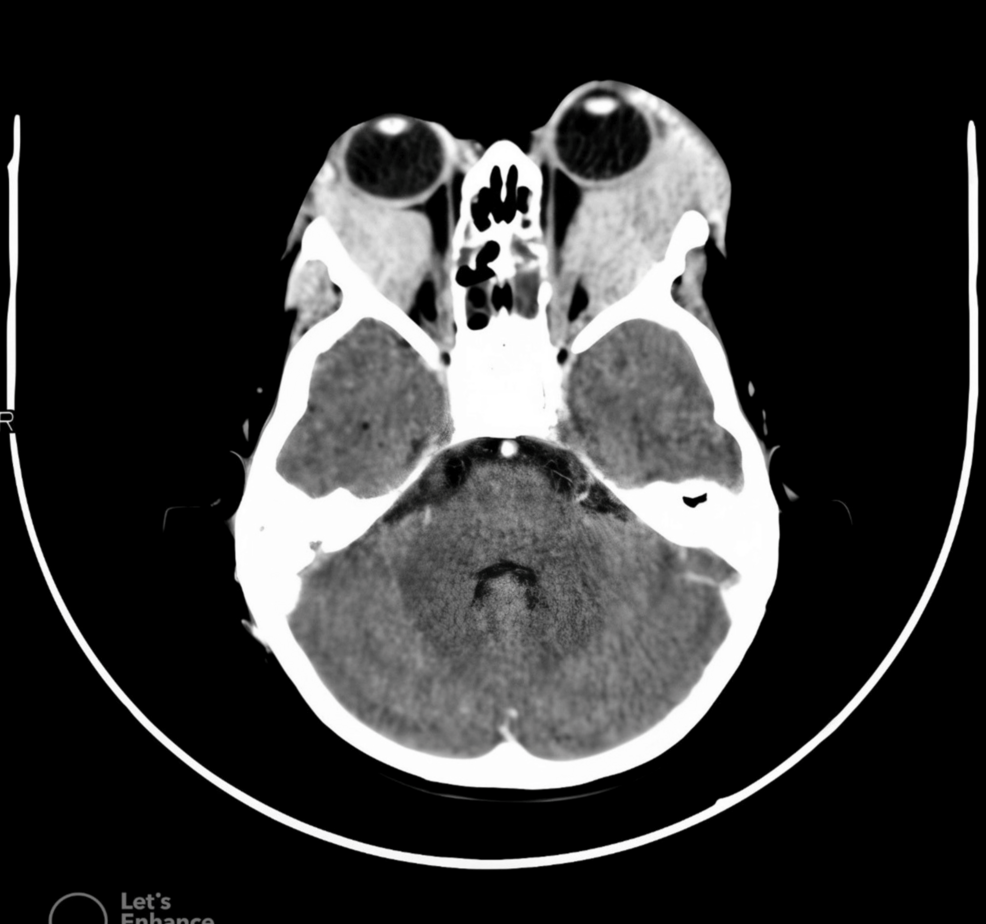
Bilateral Orbital Lymphangiomas in Two Patients with Generalized Lymphangiomatosis | American Journal of Neuroradiology
image size: 1800x619
Orbital lymphangioma | PPTX
image size: 2048x1536
EPOS\u0026trade;
image size: 1231x675
Orbital Lymphatic Malformation (Lymphangioma)
image size: 1528x1491
Sclerotherapy for Orbital Lymphangioma – Case Series and Literature Review | In Vivo
image size: 1290x1800
Orbital Lymphangioma in an Adolescent Male: A Case Report and Review of Literature
image size: 2048x1536
Orbital lymphangioma | PPTX
image size: 1770x1800
Resection of an Orbital Lymphangioma with the Aid of an Intralesional Liquid Polymer | American Journal of Neuroradiology
image size: 986x986
Orbital Venolymphatic Malformation Treated With Sodium Tetradecyl Sulfate: A Case Report | Cureus
image size: 1440x1364
One of the causes of proptosis or swelling behind the eye in children includes vascular anomalies of the orbit such as venouslymphatic malformations (VLM). These lesions, often referred to as lymphangioma can
image size: 1481x1800
Sclerotherapy for Orbital Lymphangioma – Case Series and Literature Review | In Vivo
image size: 2048x1536
Orbital lymphangioma | PPTX
image size: 1200x1616
Long term outcomes of transcutaneous non-image guided bleomycin sclerotherapy in orbital/adnexal lymphatic malformations: a protocol-based management in 69 eyes | Eye
image size: 1179x868
FULL TEXT - Orbital lymphangioma - International Journal of Case Reports and Images (IJCRI)
image size: 1200x1261
Update on Treatment of Orbital Venous-Lymphatic Malformations | Current Treatment Options in Neurology
image size: 1238x668
EPOS\u0026trade;
image size: 1800x634
A prospective study of the role of intralesional bleomycin in orbital lymphangioma
image size: 685x1300
Resection of an Orbital Lymphangioma with the Aid of an Intralesional Liquid Polymer | American Journal of Neuroradiology
image size: 1800x1438
Management of Retrobulbar Lymphangioma Using Negative Pressure Aspiration in a 14-Year-Old Female with a Long-Term Follow-Up: A Case Report | Journal of Maxillofacial and Oral Surgery
image size: 1969x1312
A prospective study of the role of intralesional bleomycin in orbital lymphangioma
image size: 1332x658
Pediatric Orbit Tumors and Tumorlike Lesions: Nonosseous Lesions of the Extraocular OrbitRadioGraphics
image size: 1024x768
Long term outcomes of transcutaneous non-image guided bleomycin sclerotherapy in orbital/adnexal lymphatic malformations: a protocol-based management in 69 eyes | Eye
image size: 1242x1034
Figure 3 from Treatment of lymphangiomas with OK-432 (Picibanil) sclerotherapy: a prospective multi-institutional trial. | Semantic Scholar
image size: 1024x768
PPT - Orbital Lymphangioma (Kennerdell Case 3) PowerPoint Presentation - ID:5571955
image size: 986x1095
Bilateral Orbital Lymphangiomas in Two Patients with Generalized Lymphangiomatosis | American Journal of Neuroradiology
image size: 2917x3007
Successful Treatment of Orbital Lymphangioma with Intralesional Bleomycin and Application of Continuous Negative Pressure
image size: 1280x894
PPT - Orbital Lymphangioma (Kennerdell Case 3) PowerPoint Presentation - ID:5571955
image size: 931x918
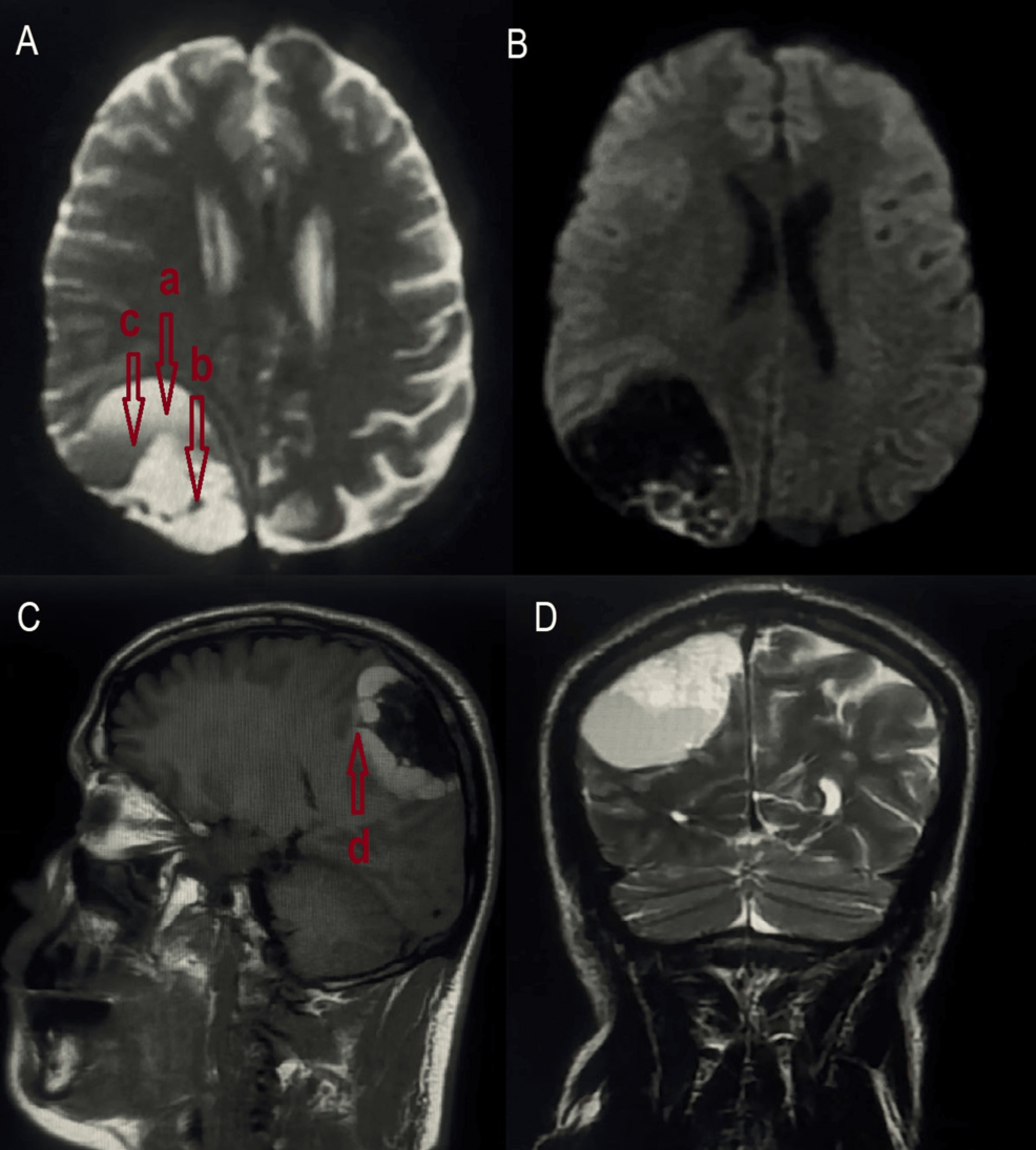
Cerebral Lymphangioma: A Clinical Case History | Cureus
image size: 1802x1366
Multimodality Image-Guided Sclerotherapy of Low-Flow Orbital Vascular Malformations: Report of Single-Center Experience - Journal of Vascular and Interventional Radiology
image size: 1259x664
Differentiation of Cavernous Hemangioma from Schwannoma of the Orbit: A Dynamic MRI Study | AJR
image size: 1501x655
Orbital Neoplasms in Adults: Clinical, Radiologic, and Pathologic ReviewRadioGraphics
image size: 1500x655
Practical Approach to Imaging of Orbital Tumors - Radiologic Clinics
image size: 1237x690
Orbital venous-lymphatic malformation
image size: 2048x1536
EPOS\u0026trade;
image size: 850x1444
A prospective study of the role of intralesional bleomycin in orbital lymphangioma
image size: 854x960
Orbital lesions with low signal intensity on T2-weighted imaging - Clinical Radiology
image size: 1024x768
Novel Approaches to Orbital Lymphangioma
image size: 1332x702
Lymphangioma of the orbit
image size: 1175x1084
Orbital lesions with low signal intensity on T2-weighted imaging - Clinical Radiology
image size: 1233x1764
Bilateral Anophthalmia with Lymphangioma of Bilateral Orbit, A Rare Congenital Ocular Presentation: A Case Report
image size: 1396x1606
EPOS\u0026trade;
image size: 1800x1293
Orbital lymphangioma | PPTX
image size: 1230x697
Orbital venous-lymphatic malformation
image size: 1024x768
Practical Approach to Orbital Lesions by Anatomic Compartments | RadioGraphics
image size: 2048x1536
Conjunctival #lymphangioma isolated or, may represent a deeper diffuse orbital lymphangioma.
image size: 1140x1438
PPT - Orbital Lymphangioma (Kennerdell Case 3) PowerPoint Presentation - ID:5571955
image size: 3000x1666
Conservative Management of a Slow-Flow Orbital Cavernous Hemangioma: A Case Report
image size: 986x924
PDF] Treatment of lymphangiomas with OK-432 (Picibanil) sclerotherapy: a prospective multi-institutional trial. | Semantic Scholar
image size: 1784x1352
FULL TEXT - Orbital lymphangioma - International Journal of Case Reports and Images (IJCRI)
image size: 1948x1441
SAS Journal of Medicine Orbital Lymphagioma: About A Case Report
image size: 1802x790
Prosthetic Eye Orbital Lymphangioma | TikTok
image size: 2048x1381
Orbital Lymphatic Malformation (Lymphangioma)
image size: 1250x662
Case Study 130
image size: 1280x720
Vascular Lesions of the Orbit: More than Meets the EyeRadioGraphics
image size: 1280x632
EPOS\u0026trade;
image size: 1280x720
PPT - Orbital Lymphangioma (Kennerdell Case 3) PowerPoint Presentation - ID:5571955
image size: 1280x1131
Orbital lymphangioma | PPTX
image size: 1280x720
LYMPHANGIOMA OF AN UNUSUAL SITE : A CASE REPORT | Semantic Scholar
image size: 870x1202
Doxycycline sclerotherapy in patients with periorbital lymphatic malformation: A case series and literature review - Kenneth K.H. Lai, Yuen Ting Kwok, Stacey C. Lam, Matthew C.W. Lam, Hunter K.L. Yuen, 2023
image size: 1512x1102
Orbital Myeloid Sarcoma as the Initial Presentation of Acute Myeloid Leukemia With Maturation in a Pediatric Patient: A Case Report | Cureus