Targeted mRNA Therapy for Ornithine Transcarbamylase Deficiency: Molecular Therapy
image size: 1652x1289
Ornithine Transcarbamylase (OTC) Deficiency - The Medical Biochemistry Page
image size: 1200x675
Natural History of Symptomatic Partial Ornithine Transcarbamylase Deficiency | New England Journal of Medicine
image size: 2514x1530
Ornithine Transcarbamylase OTC Deficiency diagram vector 11744528 Vector Art at Vecteezy
image size: 1244x700
Ornithine Transcarbamylase Deficiency: A Cause of Lethal Neonatal Hyperammonemia in Males: New England Journal of Medicine: Vol 288, No 1
image size: 1814x952
Frontiers | Ornithine Transcarbamylase – From Structure to Metabolism: An Update
image size: 1717x1912
Ornithine transcarbamylase deficiency: Video, Causes, \u0026 Meaning | Osmosis
image size: 816x1056
Targeted mRNA Therapy for Ornithine Transcarbamylase Deficiency: Molecular Therapy
image size: 2233x2533
Long-term correction of ornithine transcarbamylase deficiency in Spf-Ash mice with a translationally optimized AAV vector: Molecular Therapy Methods \u0026 Clinical Development
image size: 996x996
The remarkable journey of one female individual with ornithine transcarbamylase deficiency diagnosed post‐mortem - Forsyth - 2023 - JIMD Reports - Wiley Online Library
Urea Cycle and Potential Defects | See UCDifferently
image size: 1490x1018
Ornithine Transcarbamylase Deficiency - StoryMD
image size: 1189x1920
Ornithine Transcarbamylase Deficiency Presenting as Acute Encephalopathy After Strabismus Surgery
image size: 2128x1457
Gene therapy for urea cycle defects: An update from historical perspectives to future prospects - Duff - 2024 - Journal of Inherited Metabolic Disease - Wiley Online Library
image size: 1912x2780
Allopurinol-Induced Orotidinuria: A Test for Mutations at the Ornithine Carbamoyltransferase Locus in Women: New England Journal of Medicine: Vol 322, No 23
image size: 2048x1152
Urea cycle defects | PPTX
image size: 1762x1700
Frontiers | Ornithine Transcarbamylase – From Structure to Metabolism: An Update
image size: 1000x1000
248 Ornithine Transcarbamylase (OTC) Deficiency — DNA Today
image size: 2040x785
Ornithine Transcarbamylase Deficiency Presenting With Acute Reversible Cortical Blindness - Pankaj Prasun, Deniz Altinok, Vinod K. Misra, 2015
image size: 1194x1104
OVERCOMING THE TRIPLE CHALLENGE OF ORNITHINE TRANSCARBAMYLASE DEFICIENCY, DIABETES MELLITUS, AND PROTEIN LIMITS - SHM Abstracts | Society of Hospital Medicine
image size: 1200x911
Urea Cycle Disorders: Overview - The Medical Biochemistry Page
image size: 1800x635
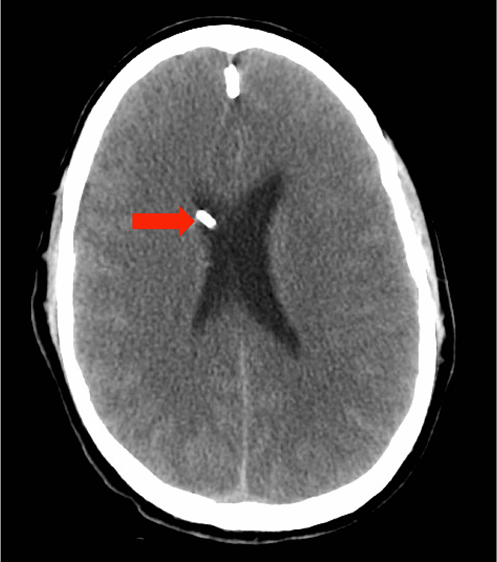
Brain MR Imaging in Acute Hyperammonemic Encephalopathy Arising from Late-Onset Ornithine Transcarbamylase Deficiency | American Journal of Neuroradiology
image size: 986x1114
Ornithine Transcarbamylase Deficiency Presenting as Acute Encephalopathy After Strabismus Surgery | Cureus
image size: 2128x697
Late‐onset of ornithine transcarbamylase deficiency: A rare medical examiner case - Gitto - 2022 - Journal of Forensic Sciences - Wiley Online Library
image size: 1800x720
Brain MR Imaging in Acute Hyperammonemic Encephalopathy Arising from Late-Onset Ornithine Transcarbamylase Deficiency | American Journal of Neuroradiology
image size: 2000x1246
Item - Urea cycle. - Public Library of Science - Figshare
image size: 1392x1445
Liver transplantation for late-onset ornithine transcarbamylase deficiency: A case report
image size: 2088x918
Perioperative management of children with urea cycle disorders - Del Río - 2020 - Pediatric Anesthesia - Wiley Online Library
image size: 1200x929
Frontiers | Structural analysis and molecular substrate recognition properties of Arabidopsis thaliana ornithine transcarbamylase, the molecular target of phaseolotoxin produced by Pseudomonas syringae
image size: 1000x886
Ornithine transcarbamylase - Wikipedia
image size: 1733x980
Symptoms of OTC deficiency in newborns vector illustration infographic 29348652 Vector Art at Vecteezy
Hemizygous deletion in the OTC gene results in ornithine transcarbamylase deficiency: A case report
image size: 1480x1080
Defects of the urea cycle - Uta Lichter-Konecki, 2016
image size: 1196x1871
Clinical and Genetic Analysis of 8 Children With Ornithine Transcarbamylase Deficiency | Neurology Genetics
image size: 1779x1540
Adult-onset ornithine transcarbamylase deficiency as a rare cause of fatal hyperammonaemia - The Lancet
image size: 1805x2348
Transiently Reduced Activity of Carbamyl Phosphate Synthetase and Ornithine Transcarbamylase in Liver of Children with Reye's Syndrome | New England Journal of Medicine
image size: 949x1007
Late-onset ornithine transcarbamylase deficiency caused by a somatic mosaic mutation | Human Genome Variation
image size: 1280x720
DNA Today Podcast Explores Three Perspectives on Dudley Lab's Research Revolutionizing Diagnosis and Treatment of OTC Deficiency - Pacific Northwest Research Institute
image size: 996x996
Safety and efficacy of an engineered hepatotropic AAV gene therapy for ornithine transcarbamylase deficiency in cynomolgus monkeys: Molecular Therapy Methods \u0026 Clinical Development
image size: 2141x1211
Urea Cycle Disorders in Children (Chapter 38) - Liver Disease in Children
image size: 2640x1392
Natural History of Symptomatic Partial Ornithine Transcarbamylase Deficiency | New England Journal of Medicine
image size: 1620x1463
Adult Presentation of Ornithine Transcarbamylase Deficiency: 2 Illustrative Cases of Phenotypic Variability and Literature Review - Michael A. Pizzi, David Alejos, Tasneem F. Hasan, Paldeep S. Atwal, Suparna R. Krishnaiengar, William D.
image size: 2048x1152
Urea Cycle Disorders | PPTX
image size: 1920x1080
Ornithine Transcarbamylase Deficiency - StoryMD
image size: 2048x1152
Global Ornithine-Transcarbamylase Deficiency market cagr 13.8% by ReportPrime - Issuu
image size: 826x1017
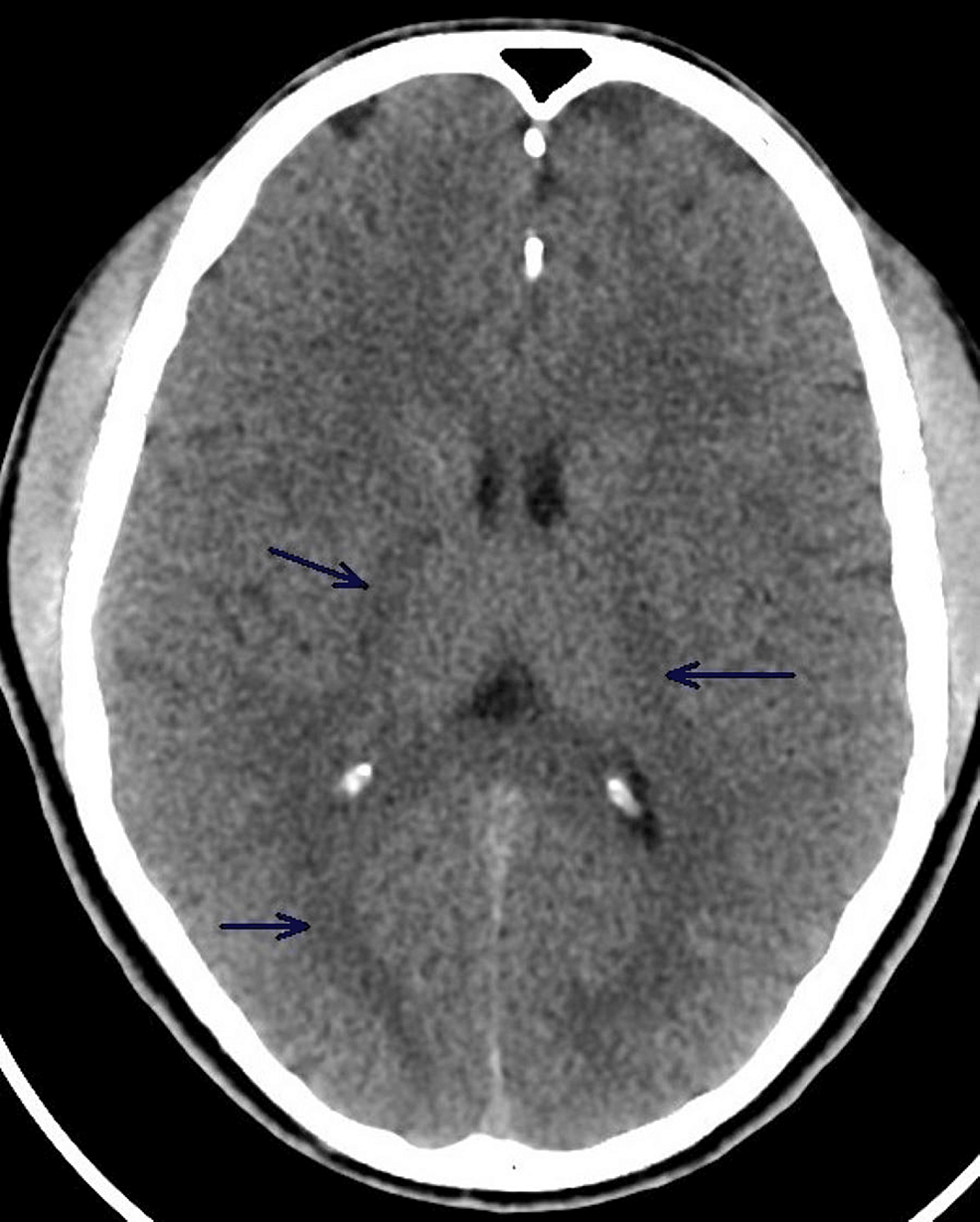
Case 252: Acute Hyperammonemic Encephalopathy Resulting from Late-Onset Ornithine Transcarbamylase DeficiencyRadiology
image size: 1024x1024
Think Rare and Act Fast”: A South Dakota Family's Mission After Losing Their Son Pruitt to OTC Deficiency – Rareatives
image size: 1071x1493
Issue 129 dietetic management in ornithe transcarbamylase deficiency by NH Publishing Ltd - Issuu
Successful Management of Ornithine Transcarbamylase Deficiency Presenting with Reversible Metabolic Stroke in a Child - The Journal of Pediatric Research
Severe Sepsis Associated With Multiorgan Failure and Precipitating Nonhepatic Hyperammonemia Crisis in Late-Onset Ornithine Transcarbamylase Deficiency: A Case Report and Literature Review | Cureus
Female OTC carriers face more symptoms, risks than expected
image size: 1117x1243
Ornithine-δ-aminotransferase is essential for Arginine Catabolism but not for Proline Biosynthesis | BMC Plant Biology
image size: 831x1024
Targeted mRNA Therapy for Ornithine Transcarbamylase Deficiency: Molecular Therapy
image size: 1200x722
Biology, Animal Structure and Function, Osmotic Regulation and Excretion, Nitrogenous Wastes | OERTX
image size: 1612x1251
Case 252: Acute Hyperammonemic Encephalopathy Resulting from Late-Onset Ornithine Transcarbamylase Deficiency | Radiology
image size: 1200x800
Urea cycle defects in adulthood: clinical presentation, diagnosis and treatment in genetically encoded hepatic metabolic disorders with a potential for encephalopathy | Metabolic Brain Disease
image size: 1080x1350
Adult-onset ornithine transcarbamylase (OTC) deficiency unmasked by the Atkins' diet - Journal of Hepatology
image size: 2510x1027
Suggested guidelines for the diagnosis and management of urea cycle disorders | Orphanet Journal of Rare Diseases
image size: 905x1006
It's not rare to have a rare disease. 🌟\u200b At just six months old, Maggie was diagnosed with Ornithine transcarbamylase deficiency (OTC deficiency), a rare genetic condition that affects just 1 in
image size: 1145x799
Most Frequently Encountered Inborn Errors of Metabolism - Clinical Tree
Characterization and treatment monitoring of ureagenesis disorders using stable isotopes | npj Metabolic Health and Disease
image size: 1583x2048
Inborn errors of metabolism - Knowledge @ AMBOSS
image size: 796x1034
Ornithine is a non-proteinogenic amino acid that plays a role in the urea cycle. Ornithine is abnormally accumulated in the body in ornithine transcar Stock Photo - Alamy
image size: 1188x1070
Arcturus - Ornithine transcarbamylase deficiency (OTCD) is a rare, inherited metabolic disorder that prevents the body from breaking down ammonia, a toxic waste product created when proteins are broken down that leads