Miliary Tuberculosis Miliary tuberculosis and disseminated intravascular coagulation A case report
96 images
Slug: /2025-04-20/miliary-tuberculosis
Source: miliary-tuberculosis.json
Miliary Tuberculosis | New England Journal of Medicine
image size: 1422x642
Miliary tuberculosis in a patient with end-stage liver disease | Cleveland Clinic Journal of Medicine
image size: 1800x1053
Miliary TB: Differential Diagnosis, Vs. Pulmonary Tuberculosis, More
image size: 1296x728
Miliary Tuberculosis with Acute Respiratory Distress Syndrome: A Deadly Combination | Cureus
image size: 986x887
Facts About Tuberculosis: Symptoms, Vaccine, and Treatment. – Urgent Medical Center
image size: 5001x4001
Miliary Tuberculosis | New England Journal of Medicine
image size: 2640x2667
Central Nervous System Complications in Miliary Pulmonary Tuberculosis: A Systematic Review Of Published Case Reports And Case Series | medRxiv
image size: 1280x1199
A Case Report on Miliary Tuberculosis in Acute Immune Reconstitution Inflammatory Syndrome - JETem
image size: 2012x2012
Pulmonary adenocarcinoma mimicking miliary tuberculosis in a 20‐year‐old man: A clinical case report - Seifi - 2023 - Clinical Case Reports - Wiley Online Library
image size: 2128x1061
Miliary tuberculosis: new insights into an old disease - The Lancet Infectious Diseases
image size: 1261x1412
Imaging of Pulmonary Miliary Tuberculosis With Multiple Intracranial Tuberculomas | Cureus
image size: 986x874
Miliary Histoplasmosis Mimicking Miliary Tuberculosis in a Patient Treated with Tumor Necrosis Factor-α Inhibitor Therapy | The Journal of Rheumatology
image size: 1800x823
Miliary tuberculosis - WikiProjectMed
image size: 1280x952
Miliary tuberculosis in a patient with end-stage liver disease | Cleveland Clinic Journal of Medicine
image size: 1800x1406
An Unusual Case of Multidrug Resistant Miliary Tuberculosis
Figure 4 from Challenges in the diagnosis \u0026 treatment of miliary tuberculosis | Semantic Scholar
image size: 1372x1148
Miliary Lung Lesions Mimicking Tuberculosis: A Case of Metastatic Lung Adenocarcinoma | Cureus
image size: 986x897
Miliary tuberculosis: new insights into an old disease - The Lancet Infectious Diseases
image size: 2960x2986
Miliary Nodularity in a Patient Receiving TNF Inhibitors Is Not Always Miliary Tuberculosis | The Journal of Rheumatology
image size: 1332x958
File:Miliary Tuberculosis.jpg - wikidoc
image size: 1476x1602
Miliary Tuberculosis in an Immunocompetent Male with Central Nervous System Involvement - The American Journal of Medicine
image size: 1500x2016
EPOS\u0026trade;
image size: 1024x768
Not all that is miliary is tuberculosis: metastatic medullary thyroid carcinoma mimicking miliary tuberculosis
image size: 1800x1600
Frontiers | Should miliary tuberculosis be considered as a possible cause of infertility in the new era: a case report and literature review
image size: 1983x1521
Miliary Shadowing 👩\u200d⚕️ Miliary tuberculosis is an uncommon pulmonary manifestation of tuberculosis. It represents haematogenous dissemination of uncontrolled tuberculous infection and carries a relatively poor prognosis. It is seen both in primary
image size: 1080x1080
Miliary tuberculosis in a patient with rheumatoid arthritis treated with tumor necrosis factor-alpha inhibitor - The American Journal of the Medical Sciences
image size: 2500x1807
Miliary tuberculosis occurred after immunosuppressive drug in PNH patient with completely cured tuberculosis; a case report | Annals of Clinical Microbiology and Antimicrobials
Tuberculosis. Coloured X-ray of a patient's chest showing disseminated, or miliary, tuberculosis (TB) in the lungs. The lungs contain lesions (tubercl Stock Photo - Alamy
image size: 1300x1225
PDF] Miliary tuberculosis: new insights into an old disease. | Semantic Scholar
image size: 878x1120
Miliary Tuberculosis, 3D Illustration And Light Micrograph Showing Histopathology Of The Lung Affected By Multiple Tiny Tuberculosis Lesions Stock Photo, Picture and Royalty Free Image. Image 128015492.
image size: 1300x731
Miliary TB - Northumberland Archives
image size: 2000x2560
Sarcoidosis and Tuberculosis: A Case Report and Literature Review
image size: 3543x3269
EPOS\u0026trade;
image size: 1024x768
Pulmonary Tuberculosis: Up-to-Date Imaging and Management | AJR
image size: 1692x1469
14yo male with diffuse miliary tuberculosis and right pulmomary abscess. Poorly treated multidrug resistant. : r/Radiology
image size: 4000x2252
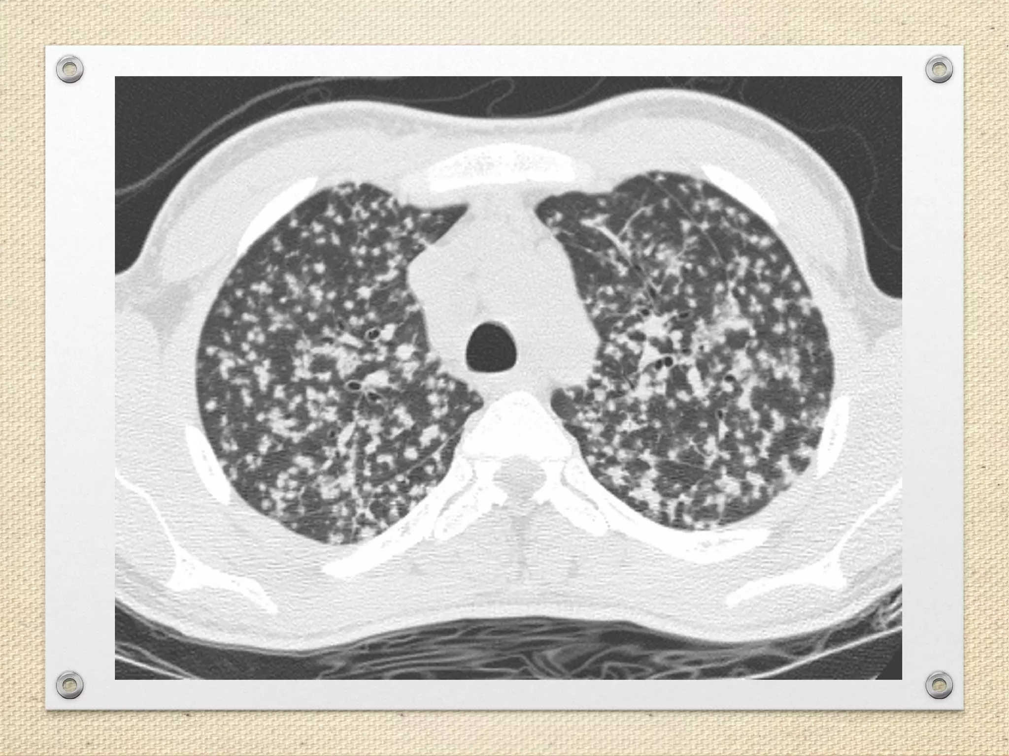
Miliary tuberculosis Symptoms: Fever, chronic cough, weight loss, loss of appetite → classic constitutional symptoms of TB. Chest X-ray: Diffuse, bilateral, fine reticulonodular (“millet seed”) opacities throughout both lungs → hallmark of
image size: 1025x1200
The etiological spectrum of miliary brain lesions: A systematic review of published cases and case series - Ravindra Kumar Garg, Vimal Paliwal, Swastika Suvirya, Hardeep Singh Malhotra, Anoop Verma, 2024
image size: 2800x1720
Miliary tuberculosis: new insights into an old disease - The Lancet Infectious Diseases
Frontiers | Analysis of Clinical Features and Risk Factors in Pregnant Women With Miliary Pulmonary Tuberculosis After In Vitro Fertilization Embryo Transfer
image size: 574x1694
Multiple Giant Molluscum Contagiosum Mimicking Epidermal Cysts in an HIV-Positive Patient with Miliary Tuberculosis: A Case Report | International Journal of Dermatology and Venereology
Erler-Zimmer 3D Printed Right Lung Miliary Tuberculosis | Anatomy Warehouse
image size: 986x891
Systemic Manifestation of Miliary Tuberculosis in Patient With Advanced Diabetic Retinopathy Presenting With Electrolyte Imbalance, Seizures, and Adrenal Insufficiency | Cureus
image size: 960x974
aruaclinic @BrownJHM @ChefKarim02 @DrCindyCooper @drkeithsiau @rkalyes1 @imedverse @NiravValand30 Miliary tuberculosis is a potentially fatal form of disseminated disease due to the hematogenous spread of tubercle bacilli to the lungs and other organs ...
image size: 763x1412
265Lu Miliary TB | The Common Vein
image size: 1300x823
Types Of Tuberculosis. Miliary And Disseminated Pulmonary Tuberculosis. Infographics. Illustration On Isolated Background. Royalty Free SVG, Cliparts, Vectors, and Stock Illustration. Image 53106491.
image size: 2591x2951
Radioloksabha - Articles
image size: 2507x2396
Understanding the tuberculosis granuloma: the matrix revolutions: Trends in Molecular Medicine
Miliary Tuberculosis, Illustration and Light Micrograph Stock Illustration - Illustration of lung, eosin: 155023688
image size: 1312x736
Which Type of TB Is Dangerous: A Comprehensive Guide
image size: 667x1394
Difficulties in distinguishing silicosis and pulmonary tuberculosis in silica‐exposed gold miners: A report of four cases - Maboso - 2023 - American Journal of Industrial Medicine - Wiley Online Library
image size: 1024x768
EPOS\u0026trade;
image size: 1155x1024
Infection Landscapes: Tuberculosis
image size: 1920x1191
Qure.ai Announces World's First AI-Powered Paediatric TB Screening Tool to Extend Proactive Reach from Birth to 15 Years | Reuters
image size: 1300x1202
Miliary tuberculosis. X-ray of the chest of a patient with miliary tuberculosis (TB). Affected areas of the lungs (black) are shown by grainy white pa Stock Photo - Alamy
image size: 2800x1832
The etiological spectrum of miliary brain lesions: A systematic review of published cases and case series - Ravindra Kumar Garg, Vimal Paliwal, Swastika Suvirya, Hardeep Singh Malhotra, Anoop Verma, 2024
image size: 1000x1080
Military tuberculosis – Royalty-Free Vector | VectorStock
image size: 1600x1200
Motic Europe | Blog: Miliary TBC
image size: 4000x2252
14yo male with diffuse miliary tuberculosis and right pulmomary abscess. Poorly treated multidrug resistant. : r/Radiology
image size: 1080x1800
Tuberculosis: A Radiologic ReviewRadioGraphics
image size: 1024x786
Miliary Tuberculosis (TB) with Tree in Bud Appearance - Chest Radiology Case Studies - CTisus CT Scanning
image size: 1000x1000
Miliary Tuberculosis In Childs Lung Framed Print by Wellcome Images - Science Source Prints
image size: 2525x1728
Challenges in the diagnosis \u0026 treatment of miliary tuberculosis