Xanthoma Histology Xanthoma PDF Diseases And Disorders Skin
91 images
Slug: /2025-03/xanthoma-histology
Source: xanthoma-histology.json
Pathology Outlines - Xanthoma
image size: 2084x1487
Pathology Outlines - Xanthoma
image size: 2084x1487
Pathology Outlines - Xanthoma
image size: 1360x1024
Eruptive Xanthomas - Mayo Clinic Proceedings
image size: 3307x2760
Eruptive Xanthomas - Mayo Clinic Proceedings
image size: 3307x2760
Pathology Outlines - Xanthoma
image size: 1800x1384
Diabetic dyslipidemia with eruptive xanthoma | Cleveland Clinic Journal of Medicine
image size: 1280x1259
Progressive Papular Eruption on the Face and Groin | MDedge
image size: 1800x1355
LLCoolProf @Chapman_Histo X is for Xanthoma cells From the Greek 'xanthos' meaning 'yellow' they are tissue macrophages so full of lipid droplets that their cytoplasm looks foamy. Collectively they give rise to
image size: 1000x1000
Xanthelasma | Dermatopathology
image size: 1430x1127
Cutaneous and laryngopharyngeal papules of xanthoma disseminatum successfully treated with 2-chlorodeoxyadenosine - JAAD Case Reports
image size: 1519x1139
LLCoolProf @Chapman_Histo X is for Xanthoma cells From the Greek 'xanthos' meaning 'yellow' they are tissue macrophages so full of lipid droplets that their cytoplasm looks foamy. Collectively they give rise to
image size: 1000x1000
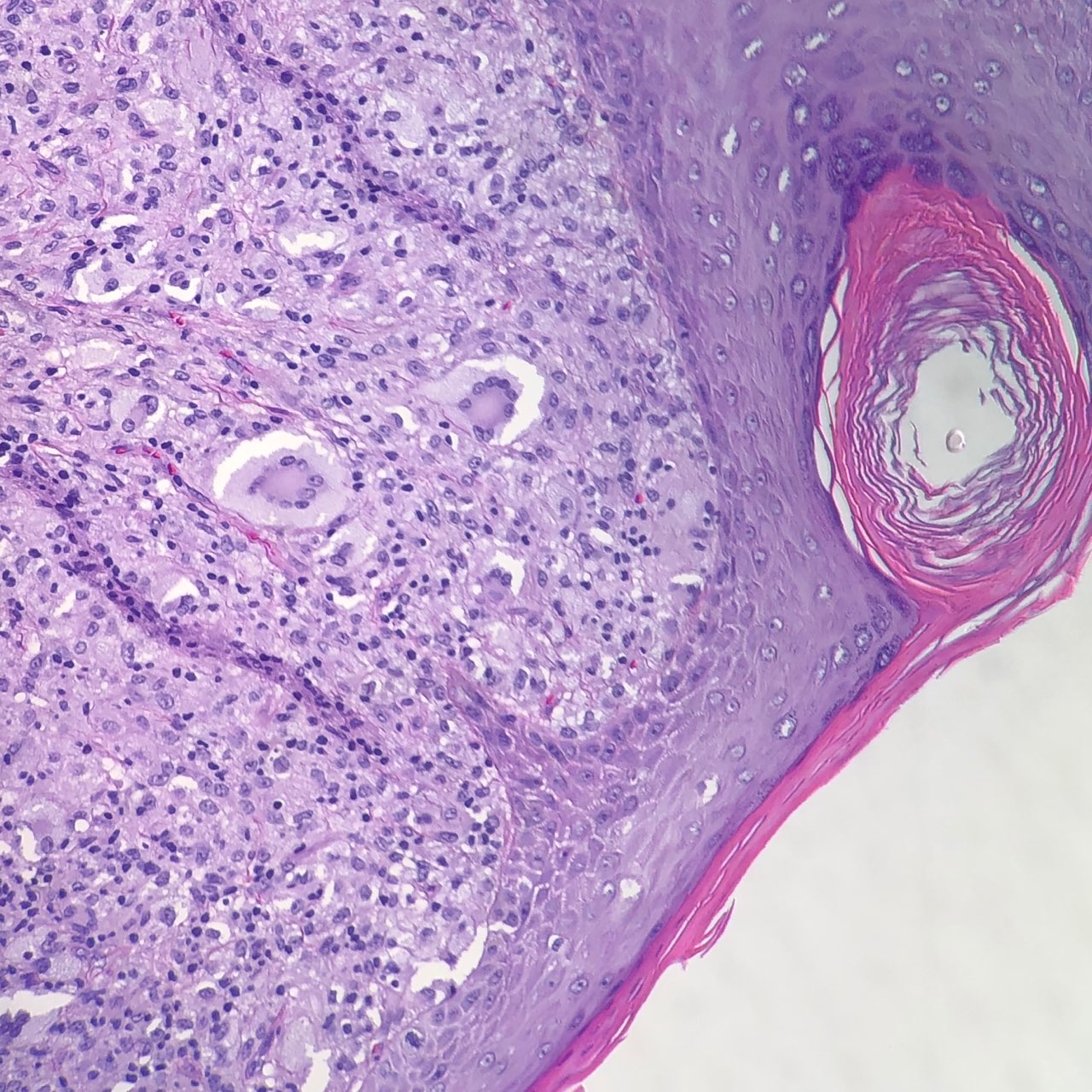
Verruciform Xanthoma - Mayo Clinic Proceedings
image size: 2242x1599
Touton giant cell - Wikipedia
image size: 4272x2848
Xanthoma of the Jaw Bones: Cases Series and Review of Literature | Head and Neck Pathology
image size: 1200x1285
Hemosiderotic diffuse normolipemic plane xanthoma presented with skin hyperpigmentation - JAAD Case Reports
image size: 1204x806
Lipid Lakes in Eruptive Xanthoma: A Case Report | International Journal of Dermatology and Venereology
image size: 1946x1468
Juvenile Xanthogranuloma - MD Searchlight
image size: 1280x1280
Xanthoma disseminatum: A red herring xanthomatosis - Indian Journal of Dermatology, Venereology and Leprology
image size: 1040x780
Bilateral temporal skull xanthoma characterized as a Langerhans cell histiocytosis: a case report | Journal of Medical Case Reports
image size: 1200x912
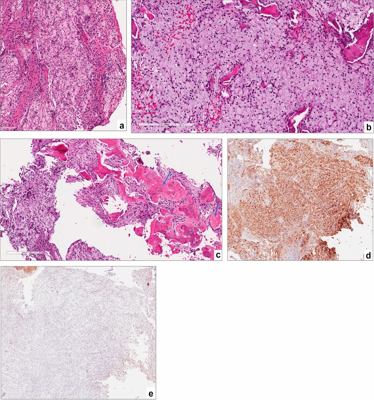
Xanthogranulomatous Epithelial Tumors and Keratin-Positive Giant Cell Rich Tumors of Soft Tissue and Bone - Surgical Pathology Clinics
image size: 2832x2138
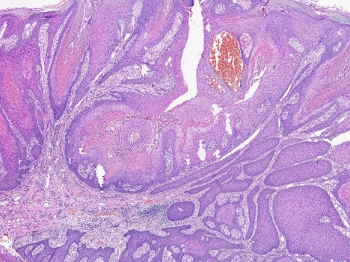
Oral Verruciform Xanthoma: A case report
image size: 768x1024
Flat type verruciform xanthoma of the tongue and its differential diagnosis
image size: 1555x1166
A case report of palmar xanthoma with xanthomatous neuropathy - Hyun Yi Lee, Dae Won Koo, Joong Sun Lee, 2021
Diffuse xanthoma in early esophageal cancer: A case report
image size: 3676x1183
Xanthelasma | Dermatopathology
image size: 1430x1127
Verruciform Xanthoma: Clinical and Morphologic Spectrum Across Oral, Genital, and Cutaneous Sites | Head and Neck Pathology
image size: 1200x718
Multiple papular xanthomas mimicking juvenile xanthogranulomas in an infant: A case report and review of the literature - Francois - 2023 - Journal of Cutaneous Pathology - Wiley Online Library
image size: 2030x2384
Oral verruciform xanthoma associated with stem cell transplantation and graft versus host disease in a paediatric patient | Bone Marrow Transplantation
image size: 1347x604
Xanthomatosis Coli - Clinical Gastroenterology and Hepatology
image size: 2625x1979
Diffuse xanthomas in a patient with lipoprotein X hyperlipidemia - JAAD Case Reports
image size: 3239x2546
File:PXA HE xanthomatous cells.jpg - Wikimedia Commons
image size: 2080x1542
Verruciform Xanthoma of the Tongue: Case Report and Review of Literature
image size: 1119x1026
Eruptive xanthoma as a warning sign of uncontrolled hypertriglyceridemia presenting with acute pancreatitis and uncontrolled type II diabetes mellitus: A case report - Shrestha - 2024 - Clinical Case Reports - Wiley Online Library
image size: 1984x1988
File:Gastric Xanthelasma, HE 03.jpg - Wikimedia Commons
image size: 1920x1280
Prevalence, Anatomical Distribution, and Risk Factors of Adipocytic Tumors and Xanthomas in Psittaciformes: 1096 Cases (1998–2018)
image size: 1401x1122
Esophageal xanthoma: presence of M2 macrophages suggests ...
image size: 1406x1066
Palmar Xanthoma—An Indicator of a More Sinister Problem - Devesh Sharma, Sunil Thirkannad, 2010
image size: 1093x819
Oral Verruciform Xanthoma of the Lower Lip: A Rare Entity
image size: 2128x1307
Homozygous familial hypercholesterolemia with cutaneous xanthomas in a child - Arora - 2022 - International Journal of Dermatology - Wiley Online Library
image size: 1384x1062
Figure 2 from Verruciform xanthoma in the hard palate: a case report and literature review | Semantic Scholar
image size: 1000x800
Head - Verruciform xanthoma: parakeratinized hyperplastic epithelium with uniformly elongated rete pegs | Facebook
image size: 3239x1082
Hemosiderotic diffuse normolipemic plane xanthoma presented with skin hyperpigmentation - JAAD Case Reports
image size: 1779x1824
Xanthoma disseminatum - The Lancet
image size: 1200x717
An Unusual Case of a Gastric Xanthoma: A Case Report
image size: 1942x874
Verruciform Xanthoma: Clinical and Morphologic Spectrum Across Oral, Genital, and Cutaneous Sites | Head and Neck Pathology
image size: 1200x750
Xanthomatous nevus: A potential new entity - JAAD Case Reports
image size: 2048x1536
Foamy Gland Pattern Prostatic Adenocarcinoma ~ #GUpath #ProstatePathology # Pathology ➡️ Xanthoma-like (foamy) cytoplasm ➡️ Small pyknotic looking nuclei (may be deceptive!) ➡️ Gleason grading is still done based on architectural pattern
image size: 1024x768
Colonic xanthoma showing subtle associated hyperplastic epithelial change, which is often noted in these lesions. The bland foamy histiocytes, unlike muciphages, are PAS-d negative as they contain lipid and often show a \
image size: 1016x805
Ocular Pathology: What is xanthelasma?
image size: 1314x1035
Xanthogranulomatous Inflammation of the Small Bowel in a Dog - M. Romanucci, D. Malatesta, P. Guardiani, P. Frescura, L. Della Salda, 2008
image size: 1080x750
Flat type verruciform xanthoma of the tongue and its differential diagnosis
image size: 1200x1289
Old man 68 years old, endoscopy. Clinical diagnosis: epithelial formation of the antral part of the stomach. Histological diagnosis: Gastric xanthoma (xanthelasma) or xanthomatous gastritis. Your opinion, thank you.
image size: 1280x1191
Xanthogranulomatous epithelial tumor: report of 6 cases of a novel, potentially deceptive lesion with a predilection for young women | Modern Pathology
image size: 1843x1382
Atypical Imaging Features of Bilateral Achilles Tendon Xanthomatosis | RadioGraphics
image size: 1200x896
Unknown: Yellow plaques on the chest and arms present for more than 6 years in an 80-year-old male
image size: 1049x770
Xanthoma: The OTHER Fatty Skin Mass • MSPCA-Angell
image size: 791x1024
From Eruptive Xanthoma to Acute Pancreatitis: Clinical Warning and Implications of Rapid Disease Progression
image size: 936x1434
Old man 68 years old, endoscopy. Clinical diagnosis: epithelial formation of the antral part of the stomach. Histological diagnosis: Gastric xanthoma (xanthelasma) or xanthomatous gastritis. Your opinion, thank you.
image size: 1200x675
Ocular Pathology: What is xanthelasma?
image size: 2491x836
PDF] Gastric xanthelasma associated with hyperplastic polyp and mucosal erosions: report of an unusual case and literature review | Semantic Scholar
image size: 1380x991
Learning points from #ISDP2023 by @Dermatopatol VERRUCIFORM XANTHOMA #dermapathology #dermpath #dermatology #dermatología #dermatologia # pathology #patología #patologia
image size: 2048x1606
Diffuse planar xanthomas on the bilateral breasts - JAAD Case Reports
image size: 1497x1703
Dermoscopy in the diagnosis of juvenile xanthogranuloma - ScienceDirect
image size: 1500x914
Another dermatofibroma variant: lipidized aka “ankle type” (bc it occurs on lower leg). Foamy histiocytes mimic xanthoma. Rings/arcs of hyalinized collagen \u0026 peripheral areas of conventional DF \u003d clues to dx. My
image size: 1200x900
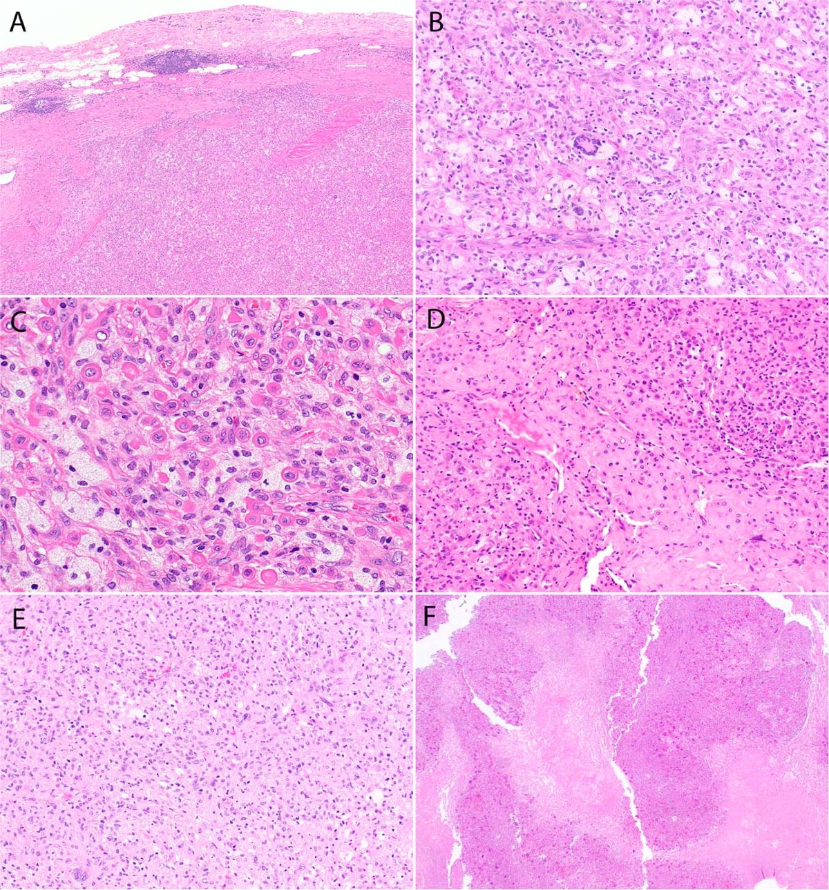
The evolution of pleomorphic xanthoastrocytoma: from genesis to molecular alterations and mimics - Laboratory Investigation
image size: 1024x768
Genetically confirmed atypical cerebrotendinous xanthomatosis with large xanthomas and normal plasma cholestanol in an octogenarian - Journal of Clinical Lipidology
image size: 1200x900
Xanthoma verruziformes - Altmeyers Encyclopedia - Department Dermatology
image size: 1017x792
Beautiful case!
image size: 1024x768
Xanthomatous Discoid Lupus Erythematosus: An Unusual Histopathological Variant and Review of Reported Cases
image size: 1495x1197
Xanthoma verruziformes - Altmeyers Encyclopedia - Department Dermatology
image size: 1058x852
Xanthogranulomatous Inflammation of the Small Bowel in a Dog - M. Romanucci, D. Malatesta, P. Guardiani, P. Frescura, L. Della Salda, 2008
image size: 1277x958
PPT - Verruciform Xanthoma in a Patient with Recessive Dystrophic Epidermolysis Bullosa PowerPoint Presentation - ID:900342
image size: 1500x1385
Xanthogranulomatous epithelial tumors and keratin-positive giant cell-rich soft tissue tumors: two aspects of a single entity with frequent HMGA2-NCOR2 fusions - Modern Pathology
image size: 2001x1409
Oral Verruciform Xanthoma of the Lower Lip: A Rare Entity
image size: 1098x1487
PDF] Gastric Hyperplastic Polyp Associated with Proliferation of Xanthoma Cells Observed by Magnification Narrow-Band Imaging Endoscopy | Semantic Scholar
image size: 1364x1004
Case Report: Diffuse plane xanthoma with low C4 and systemic inflammatory symptoms