Doença de Hirschsprung: Causas, Fatores de Risco, Sintomas, Tratamento
image size: 1080x1080
Doença de Hirschsprung - Pediatria - Manuais MSD edição para profissionais
image size: 863x1000
👶💙 Doença de Hirschsprung em Bebês 💙👶 A Doença de Hirschsprung é uma condição que afeta o intestino, dificultando a eliminação de fezes e gases. O sintoma mais comum é a não
image size: 1200x1200
Dr - A doença de Hirschsprung, ou megacólon congênito, é uma rara condição gastrointestinal resultante da ausência de células nervosas (células ganglionares) no cólon, comprometendo os movimentos peristálticos. Essa condição, presente desde
image size: 1080x1080
Você já ouviu falar de pessoas que ficam semanas sem ir ao banheiro e a barriga cresce muito? Entenda o engarrafamento: 1️⃣ A Falha de Fábrica: Na Doença de Hirschsprung (mostrada na
image size: 1529x2048
Dr. Mateus Andrade - Gastro - Pediatra - DOENÇA DE HIRSCHSPRUNG A doença de Hirschsprung é uma doença congênita rara que afeta a motilidade intestinal. O intestino grosso depende de uma rede
image size: 1088x1088
Doença de Hirschsprung – Wikipédia, a enciclopédia livre
image size: 2080x1544
🛑Megacólon (Provavelmente Tóxico ou Associado a Hirschsprung) 📍Esta imagem mostra um cólon extremamente dilatado, removido durante uma cirurgia. 📍É um caso extremo de megacólon, em que o intestino grosso está anormalmente aumentado
image size: 794x992
Como funciona o megacolon: causas e consequências
image size: 1080x1920
Obstipação em Idade Pediátrica | Concise Medical Knowledge
image size: 810x1080
Grátis: Constipação Intestinal - Material Claro e Objetivo em PDF para Estudo Rápido
image size: 1053x1364
Grátis: Doença de Hirschsprung - Material Claro e Objetivo em PDF para Estudo Rápido
image size: 1620x1620
Grátis: Constipação Intestinal - Material Claro e Objetivo em PDF para Estudo Rápido
image size: 1023x1047
Anomalias Gastrointestinais Pediátricas | Concise Medical Knowledge
image size: 800x1167
Atenção aos sintomas!!! “'Mega' quer dizer 'grande' e 'cólon' é o nome científico do intestino grosso, logo, o megacólon congênito (também chamado de doença de Hirschsprung) é uma dilatação de parte do
image size: 1440x1440
O Homem Balão: a tragédia silenciosa do megacolon. Nasceu em 1865 e seu corpo guardava um segredo doloroso. Uma doença congênita rara impediu que certas células nervosas se desenvolvessem no intestino. O
image size: 1200x804
Colostomia em Bebê Recém-Nascido: Guia Prático para Escolha e Uso de Bolsas Descartáveis de Uma
image size: 1601x1601
Doenças gastrointestinais do recém-nascido | Colunistas - Sanarmed
image size: 886x974
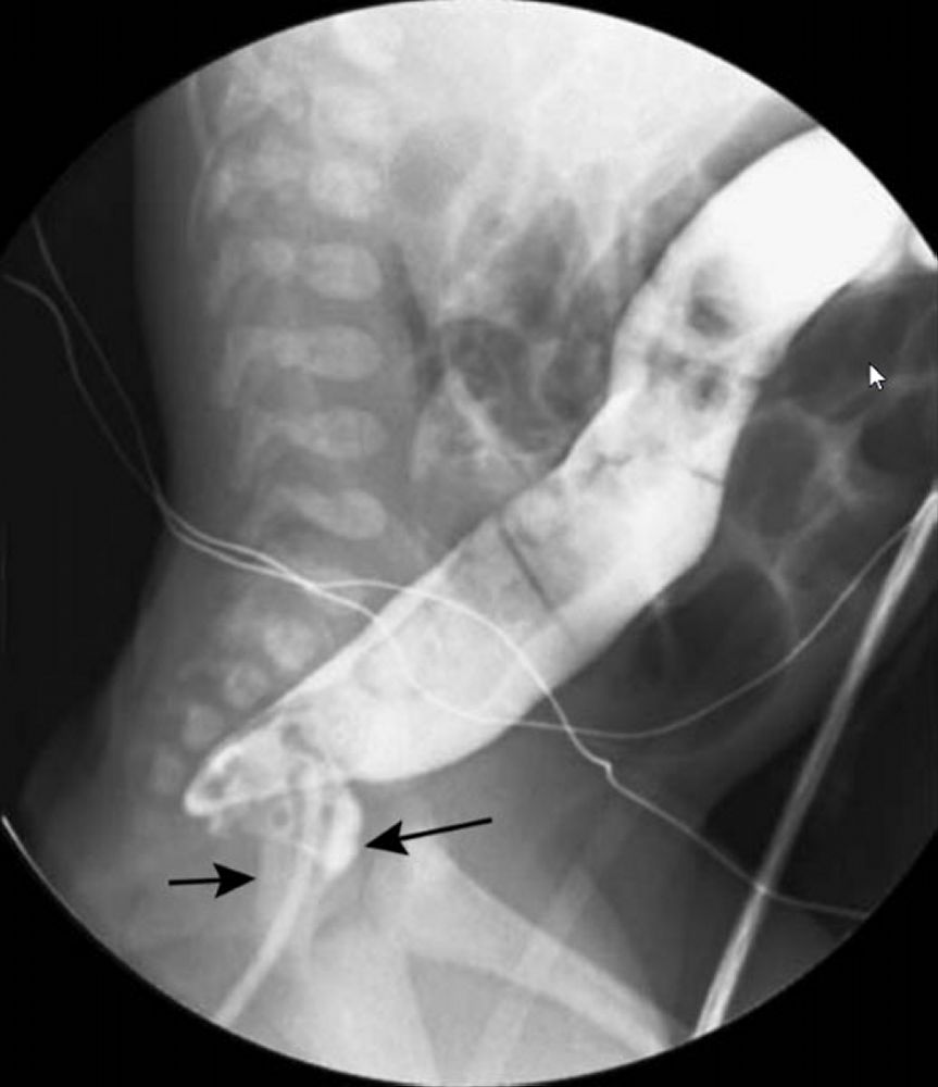
Caso de Radiologia - Paciente com Constipação Crônica : r/medicine
image size: 1492x850
Grátis: Doença de Hirschsprung - Material Claro e Objetivo em PDF para Estudo Rápido
image size: 1620x1620
NAFAD - Núcleo de Avaliação Funcional do Aparelho Digestivo - O megacólon é a dilatação do intestino grosso, acompanhada de dificuldade para eliminar fezes e gases, causado por lesões nas terminações nervosas
image size: 1042x1042
Homem com prisão de ventre tem 13 quilos de fezes removidos cirurgicamente
image size: 1440x808
APENDICITE NEONATAL COMO ALERTA NA DOENÇA DE HIRSCHSPRUNG NEONATAL APPENDICITIS AS A WARNING IN HIRSCHSPRUNG DISEASE
image size: 1046x1266
Grátis: Constipação intestinal - Pediatria - Material Claro e Objetivo em PDF para Estudo Rápido
image size: 1080x1080
Doença do intestino irritável: causas, fatores de risco, sintomas e tratamento
image size: 1200x1719
Megacólon: Acompanhamento e Cuidados na Adultice
image size: 2880x1620
Grátis: Megacólon congênito - Material Claro e Objetivo em PDF para Estudo Rápido
image size: 1080x1080
Dr. Mateus Andrade - Gastro - Pediatra - DOENÇA DE HIRSCHSPRUNG A doença de Hirschsprung é uma doença congênita rara que afeta a motilidade intestinal. O intestino grosso depende de uma rede
image size: 901x901
Cirurgia para Doença de Hirschsprung. Abaixamento de cólon à Duhamel. Em pacientes com colostomia prévia, optamos pela cirurgia de Duhamel. Em crianças sem grandes dilatações de cólon, com diagnóstico precoce e forma
image size: 2880x1620
Grátis: Megacólon congênito - Material Claro e Objetivo em PDF para Estudo Rápido
image size: 1024x768
PPT - Manometria Anorretal como instrumento diagnóstico nos distúrbios da defecação em crianças e adolescentes PowerPoint Presentation - ID:969793
image size: 2880x1620
Grátis: Megacólon congênito - Material Claro e Objetivo em PDF para Estudo Rápido
image size: 1061x1199
APENDICITE NEONATAL COMO ALERTA NA DOENÇA DE HIRSCHSPRUNG NEONATAL APPENDICITIS AS A WARNING IN HIRSCHSPRUNG DISEASE
image size: 872x1250
Harald Hirschsprung – Wikipédia, a enciclopédia livre
image size: 1080x1080
Obstipação em Idade Pediátrica | Concise Medical Knowledge
image size: 1046x1209
Dr. Mateus Andrade - Gastro - Pediatra - DOENÇA DE HIRSCHSPRUNG A doença de Hirschsprung é uma doença congênita rara que afeta a motilidade intestinal. O intestino grosso depende de uma rede
image size: 1046x1263
Grátis: Constipação intestinal - Pediatria - Material Claro e Objetivo em PDF para Estudo Rápido
image size: 828x1000
Grátis: Constipação intestinal - Pediatria - Material Claro e Objetivo em PDF para Estudo Rápido
image size: 1190x1683
Obstrução intestinal - Distúrbios gastrointestinais - Manuais MSD edição para profissionais
image size: 1191x1684
Grátis: Constipação na infância - Material Claro e Objetivo em PDF para Estudo Rápido
image size: 1080x1080
Grátis: Abdômen agudo obstrutivo - Material Claro e Objetivo em PDF para Estudo Rápido
image size: 1024x768
Dr. Mateus Andrade - Gastro - Pediatra - DOENÇA DE HIRSCHSPRUNG A doença de Hirschsprung é uma doença congênita rara que afeta a motilidade intestinal. O intestino grosso depende de uma rede
image size: 1620x1620
PPT - Manometria Anorretal como instrumento diagnóstico nos distúrbios da defecação em crianças e adolescentes PowerPoint Presentation - ID:969793
image size: 913x974
Grátis: Doença de Hirschsprung - Material Claro e Objetivo em PDF para Estudo Rápido
image size: 2880x1620
Grátis: Constipação intestinal na infância - Material Claro e Objetivo em PDF para Estudo Rápido
image size: 1080x1080
Grátis: Megacólon congênito - Slides - Material Claro e Objetivo em PDF para Estudo Rápido
image size: 1080x1276
Doença de Chron: Causas, Fatores de Risco, Sintomas, Tratamento
image size: 1083x1221
Grátis: 1 e 2 - CONSTIPAÇÃO - Material Claro e Objetivo em PDF para Estudo Rápido
image size: 1533x615
Anomalias Gastrointestinais Pediátricas | Concise Medical Knowledge
image size: 1280x855
Resumo de doenças gastrointestinais do recém-nascido
image size: 1620x1620
Grátis: Doença de Hirschsprung - Material Claro e Objetivo em PDF para Estudo Rápido
image size: 1024x768
PPT - Manometria Anorretal como instrumento diagnóstico nos distúrbios da defecação em crianças e adolescentes PowerPoint Presentation - ID:969793
image size: 910x1177
Grátis: Megacólon e Doença de Chagas - Material Claro e Objetivo em PDF para Estudo Rápido
image size: 1080x1080
Dr. Mateus Andrade - Gastro - Pediatra - DOENÇA DE HIRSCHSPRUNG A doença de Hirschsprung é uma doença congênita rara que afeta a motilidade intestinal. O intestino grosso depende de uma rede
image size: 2880x1620
Grátis: Patologia do intestino - Material Claro e Objetivo em PDF para Estudo Rápido
image size: 1079x888
Grátis: Constipação na infância - Material Claro e Objetivo em PDF para Estudo Rápido
image size: 1190x1684
DICAS DE RADIOLOGIA - Tudo Sobre Radiologia: DOENÇAS DO INTESTINO - MEGACÓLON CONGÊNITO E ADQUIRIDO
image size: 834x999
Respondendo a @Heloisa A gastrosquise é uma malformação congênita em que alças intestinais saem para fora do abdômen por um defeito na parede abdominal, geralmente à direita do umbigo. O diagnóstico é ...
image size: 1005x1461
Ileostomia: o erro mais comum que causa desidratação Quem tem ileostomia precisa ter atenção redobrada à hidratação, principalmente os idosos. Isso porque a ileostomia desvia o intestino delgado, e as ...
image size: 1080x1920
Alteração Das Fezes Completo | PDF | Síndrome do intestino irritável | Doença de Crohn
image size: 768x1024
Lição de vida - Uma menina de oito anos do interior paulista nasceu com uma doença rara que a fez passar por 12 cirurgias. Em meio às dores e dificuldades com a saúde, porém, ela encontra força para ...
image size: 1500x2000
Grátis: Constipação - SEMINÁRIO - Material Claro e Objetivo em PDF para Estudo Rápido
image size: 2880x1620
Grátis: CONSTIPAÇÃO INTESTINAL - PEDIATRIA - Material Claro e Objetivo em PDF para Estudo Rápido
image size: 869x1117
Coco Grosso: O Que Significa e Como Afeta Digestão e Saúde Intestinal
image size: 1080x1920
Grátis: Constipação na Infância - Material Claro e Objetivo em PDF para Estudo Rápido
image size: 905x1388
Maria Luiza (@marialu_gandra_cipe) • Instagram photos and videos
image size: 1440x1800
Dr. Mateus Andrade - Gastro - Pediatra - DOENÇA DE HIRSCHSPRUNG A doença de Hirschsprung é uma doença congênita rara que afeta a motilidade intestinal. O intestino grosso depende de uma rede
image size: 1080x1080
Beatriz Claudino de Athayde (@biagastroped) • Instagram photos and videos
image size: 1440x1440
Grátis: Síndrome do Intestino Irritável e Constipação Intestinal - Material Claro e Objetivo em PDF para Estudo Rápido
image size: 1191x1684
Grátis: Constipação intestinal - Pediatria - Material Claro e Objetivo em PDF para Estudo Rápido
image size: 1046x1480
Grátis: Constipação Intestinal - Material Claro e Objetivo em PDF para Estudo Rápido
image size: 1020x1448
O que é uma bolsa de colostomia? Descubra agora!
image size: 902x1203
Grátis: Síndrome do Intestino Irritável e Constipação Intestinal - Material Claro e Objetivo em PDF para Estudo Rápido
image size: 1191x1684
PPT - Manometria Anorretal como instrumento diagnóstico nos distúrbios da defecação em crianças e adolescentes PowerPoint Presentation - ID:969793
image size: 1024x768
Como Reduzir a Barriga Estufada: Dicas Práticas
image size: 1080x1080
Grátis: 1 e 2 - CONSTIPAÇÃO - Material Claro e Objetivo em PDF para Estudo Rápido
image size: 1020x1866
Grátis: Constipação na infância - Material Claro e Objetivo em PDF para Estudo Rápido